-
Резекция корня зуба

После некачественного лечения корневых каналов или хронического пульпита возникает воспалительный процесс в тканях окружающих верхушку корня зуба – это называется периодонтит. В это области образуется гранулема. При увеличении переходит в кистогранулему, а выше 8 мм – это уже киста.
-
Бюгельное протезирование

Бюгельное протезирование является самым удобным из съемного, позволяет использовать в качестве опоры зубы и десна. Бюгельные протезы более эстетичные, если сравнивать их с обычными протезами.
-
Сохраняем или удаляем зубы?

Человеку Бог дал зубы, безусловно то, что каждый зуб очень ценный для организма.
-
Ополаскиватели полости рта

Ополаскиватели для полости рта представляют собой дополнительные средства гигиены, в них содержится минимальное количество спирта. Есть также ополаскиватели для детей, которые не содержат спирта вообще.
-
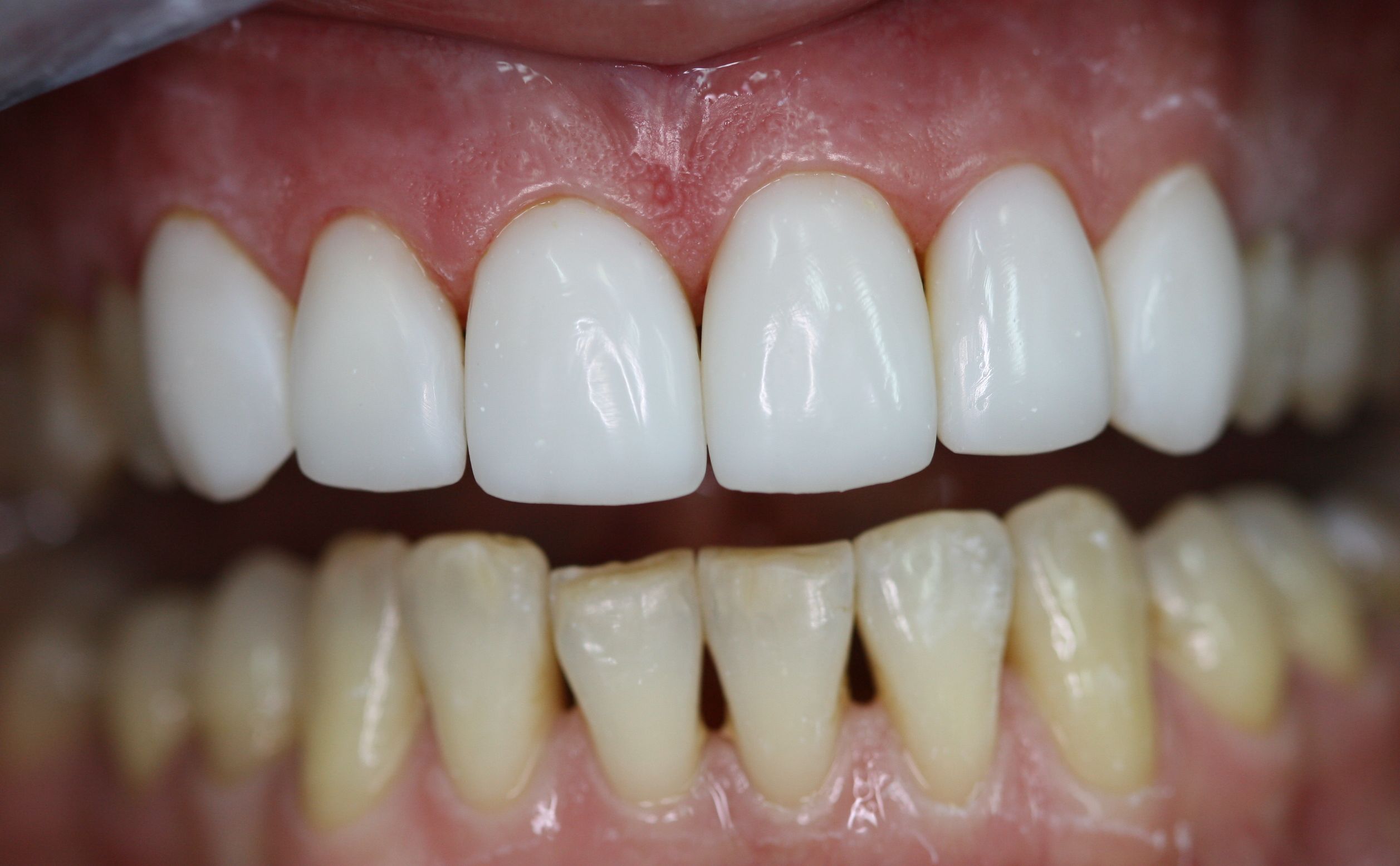
Косметическая реставрация зубов

В этой статье мы расскажем как возможно изменить свою улыбку к лучшему. Изменить Вашу улыбку возможно за одно посещение, ведь в стоматологии существует уже достаточно большое количество методик реставрации зубов. Для проведения косметической реставрации зуба используются материалы от Dentsply, компания, которая является мировым лидером.
-
Лечение кровоточивости десен

Пародонтит является серьезным заболеванием полости рта, данное заболевание характеризуется повреждением десен и альвеол.
-
Ортодонтия в стоматологии

В этой статье мы расскажем Вам что такое ортодонтия в стоматологии и зачем она вообще нужна.
-
Профессиональная гигиена полости рта

Профессиональная гигиена полости рта включает в себя такие процедуры, как: снятие камней ультразвуком, air-flow – удаление налета содой и последний этап – это нанесение состава на эмаль зуба.
-
Наращивание зубов

Наращивание или реставрация зубов представляет собой идеальное решение для восстановления эстетики зубов.
