-
Скайсы на зубы

Скайсы на зубы – это тонкости стиля для пациентов.
-
Золотые коронки в стоматологии

Зубное протезирование на основе драгоценных металлов применяют уже длительное время.
-
Удаление пульпы пораженного зуба?

В этой статье мы расскажем про удаление пульпы пораженного зуба.
-
Мертвый зуб в стоматологии

Само понятие “мертвый зуб” используют в стоматологии для обозначения утраченной пульпы.
-
Черные зубы

Черные зубы – это стоматологическая паталогия, развитие которой провоцируется целым рядом внутренний и внешних факторов.
-
Лечение гранулемы

Схема лечения гранулемы зуба – это индивидуальный подход для каждого пациента с учетом развития паталогического процесса.
-
Преимущества и недостатки шинирования зубов

В этой статье мы расскажем про преимущества и недостатки шинирования зубов.
-
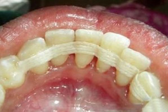
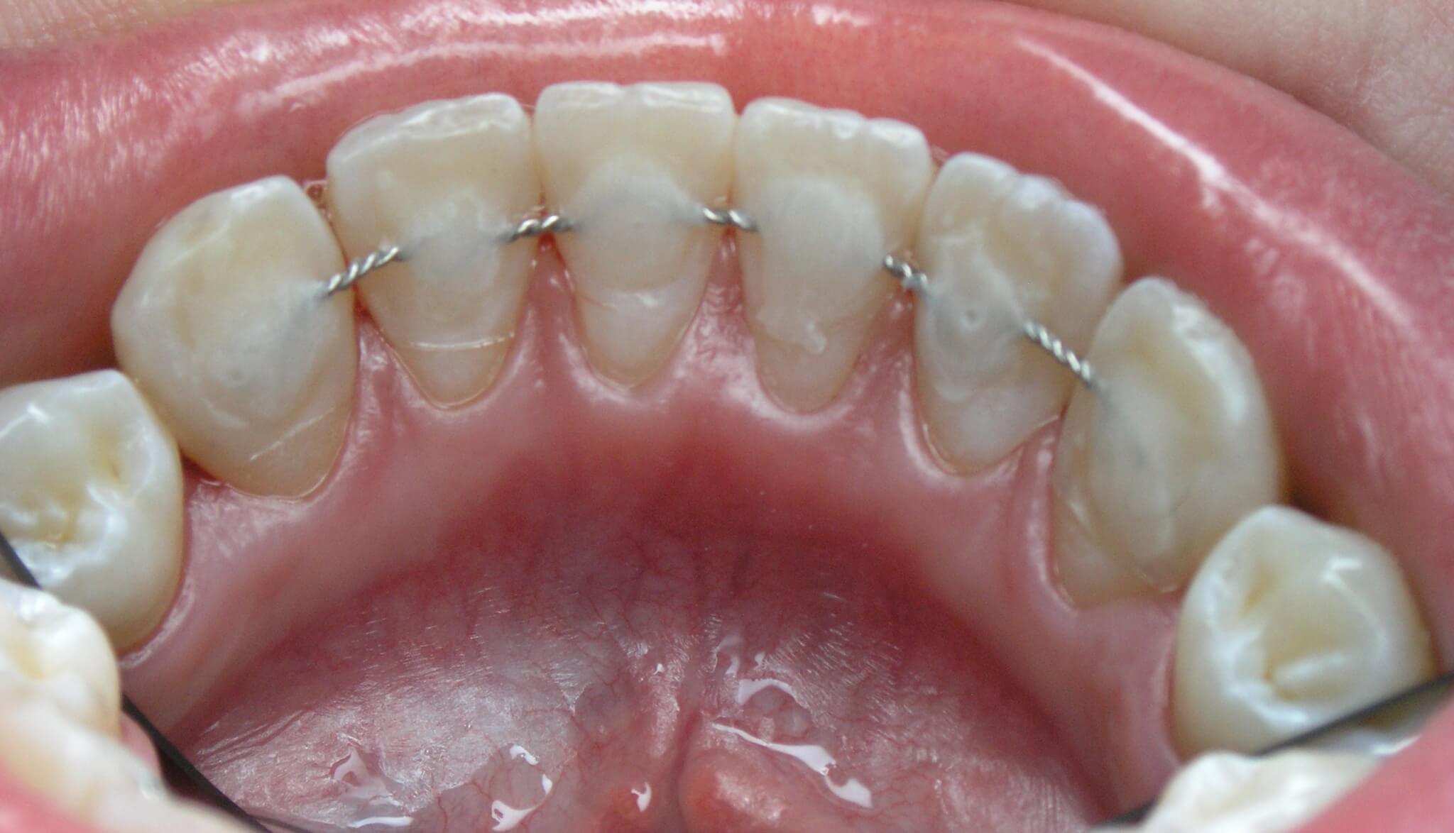
Методы шинирования зубов

До недавнего времени фиксацию зубов в полости рта у пациента производили с помощью зубных коронок и съемных протезов. Эти способы считали неуместными, так как они требовали обточки зубов, причем значительной.
-
Что такое шинирование зубов?

Процедуру шинирования – это манипуляция, которая позволяет снизить риск развития болезни парадонта.
-
Как устранить боль в запломбированном зубе?

В этой статье мы расскажем про рекомендации врачей о том, как устранить боль в запломбированном зубе.